Hello folks,
Since non-flyers (players who have not participated in the FlyWire, BANC and Pyr’s CO3 databases) will start joining EW2 sooner or later, players who might also not have traced/ reaped + completed starbust (SB) cells I thought to create an SB completion guide.
I won’t go into how to use neuroglancer as HQ has a lot of material on that, but rather what SB cells look like, and what the most common challenges of completing an SB cell are.
Before getting into the cell, a small comparison between EW and EW2 is in order.
Every player who has completed more than 100 cubes and even more so who has become a scout, or a scythe (not to mention mystic) knows how EW works. You have cubes, and players build a consensus on how that cube’s ‘contents’ should look like. If there’s ‘disagreements’ or mistakes, scythes, mystics and GMs/Admins can fix them by reaping said cubes/mistakes and altering the consensus.
In EW2 there’s 2 major changes in that there are no cubes and there is no consensus. Everything is pre-traced and pre-grown by the AI, and we just fix its mistakes.

Another big difference between EW and EW2 is that in EW you can’t explore wherever you want in the dataset, only reconstruct the cell(s) as given by the GMs/Admins. If someone finds something in the 2D that they think is interesting/funny/ ‘what is this and what kind of cell does it belong to’ they can of course select it in the 2D and see the immediate 3D in there, but they can’t see the cell without creating a merger. In EW2 you can select anything you like from anywhere in the dataset and make it appear in 3D without creating mergers. You double click, you see, then remove.



And yes, you can zoom out to see the entire dataset in 2D, although that beyond the coolness of it has little functionality when tracing.
While these are -some of the bigger- differences between EW & EW2 (along with the fact that for now EW2’s much less gamified than EW) the admins are the ones who pass one which cells the researchers need proofreading (in EW2 we don’t say completed or reaped, but that the cell’s been proofread as completing and/or reaping doesn’t really exist anymore), but one can go exploring, and/or proofread other cell(s) that might be merged onto the one that is meant to be proofread.
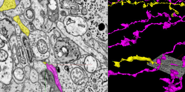
So, for example in this pic if the cell’s that been given to be proofread is the red circle, the player can -decide to- proofread only that one (after splitting off the yellow merged cell) or can -decide to- proofread both.
So, if I was wanting to trace/proofread both I could do that now and trace both red and yellow cells, or remove the yellow one and proofread the red one alone.
(splitting and/or merging stuff apart/together changes their colour(s), which can also be done manually in neuroglancer). (the green bounding box is the end of the dataset, but I’m going to hide it b/c it can be confusing when proofreading, plus it’s clickable so it can be frustrating when you mis-click and get ‘transferred’ away from your cell).
In FlyWire and/or BANC the guidelines were more general so we could if we wanted to proofread any cell in the dataset we wanted to. If FW/BANC had been EW it’d have been the equivalent of “We need players to proofread cells in sector 2, please.” But then any player could proofread cells in Sector 2 or 1 or 3-14 or in any other part of the EW dataset.
I mention all of this to give context for what is to follow, as I don’t know whether the cell I’m going to pick from the gsheet will have only an SB cell or an SB merged along with other cell(s), and I am one of those who are very inclined to complete any and all cells merged into 1. Lol. As well as to make the differences in UI/UX and such a bit less confusing for those who have not been part of FW/BANC and/or Pyr.
With all of that out of the way, time to proofread ourselves a Starburst cell.

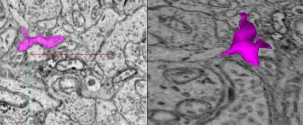
So, yeah in EW2 your starting segment can also be…this. A standalone branch in need of a cell. From experience I can tell that it is a starburst cell’s branch, so now to start proofreading it by placing annotations (points in space which help know where and what one has gone through and not do double work.
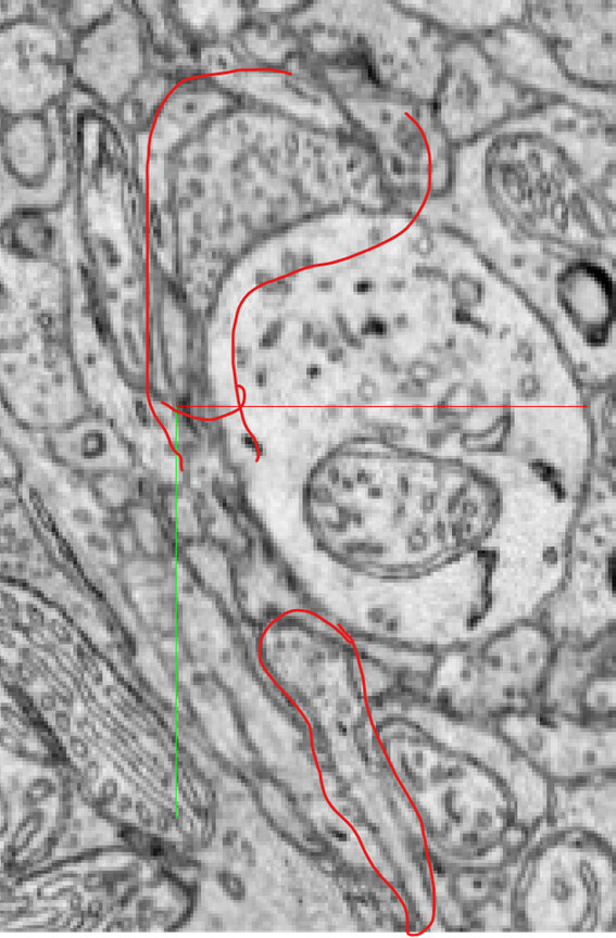
Something that is very obvious is how detailed the 2D is in EW2 by comparison to EW1 (except maybe zfish mystics dataset but even then). I mention this because while EW’s rule of thumb that if you see a jagged edge that’s something missing still applies in many cases in EW2. But then also the 3D can be very jagged but that may not translate into something missing in the 2D. It can also mean that there’s an imperceptibly thin (and small) connection leading to an extension or terminating bouton, checking most things and gaining experience is basically the only way to know whether something ends or something needs more exploring.

In this case these jagged edges end there. As do the other pointy ends in the branch so I annotated them as “true ends” (means it ends there, doesn’t continue or gets cut off by dataset end).
And by proofreading the other side, here’s the rest of the cell, and our CB (which in EW2 is also called a Soma).

Now, colours wise like I mentioned before every time something is split or added (merged) from/into a cell) makes that cell/ segment change colours but to keep things simple I’m going to keep the original/starting segment as blue (would have been the seed in EW), the CB-containing segment green and any further additions yellow with mergers as red (EW’s review colours for seed/correct stuff in/missing and wrong colours). Because the ‘true end’ annotations are also green, I’m going to temp. keep the CB segment as purple so I can see one from the other.
And with that a protip about SBs (for whoever may join EW2 and not have traced/reaped + completed any/many SB cells in EW), when starting out on an SB cell it pays to look for bald spots. What are bald spots? SB cells are kind of ‘discs’ or like an exploding star ‘circular’ and their branches kind of ‘flow’ outwards like that (which is how/why/from where they get their name). So if there’s a big void in that pattern, we call that a bald spot.
In this cell my most probable candidate spaces for bald spot covers are the areas circled in red. So, I’m going to go over the branches to the ‘left’ and ‘right’ of those empty voids and see whether they can be filled in or not, before going through the rest of the cell, starting from close in the CB and then go ‘outwards’ to avoid completing a branch that may end up being removed as a merger (EW completing a cell mentality carries over).
With the main 2 bald spots (right of image) covered/filled up – I’m not too worried about the other two as they are at the edges/ends of the cell so a more thorough proofreading later might fill them up a bit but also voids at the outer edges are not that uncommon as things begin to bouton-end-up.
With this done, a 2nd pro-tip about SB cells is “if anything goes too much off plane…it is most likely a merger”.

As you can see the vast majority of our branches (other than the CB and direct branching (or arboration -from Arboriculture - Wikipedia and https://shorturl.at/YtWqk - as I’ve seen called in FW/BANC) off from it are all in one ‘plane’. Everything except for that wee branch to the bottom left.
Zooming in that part it’s easy to see the red’s a merger.
(which I split off before taking the pics b/c I’m a forgetful clumsy cluts sometimes lol)

And if I add the backtrace (bottom center in above pic) it becomes even more obvious that it’s a merger. Now, since this wasn’t a merger on the starting segment, or even the CB segment, I am not going to proofread this -non SB- cell, but I will add the merger branch to it and then remove it.


And since I’ve now proofread that part of the branch/bouton I’m going to also annotate it as a true end.

So, now I start with checking the CB out for anything major that needs work (mergers or missing branches), and this little -glia- merger irked me so I split it off.
(Something so small you can choose to ignore it, especially in the CB but I like to be thorough).
Next, I proofread the CB’s underside for missing stuff, annotating as I go.
Only a few minor nubs/boutons missing, and a merger split off.

These two may look like they belong together but it’s 2 nubs touching vs a real extension.
Two pics with the backtrace to illustrate its merginess.


Merger removed and annotated.
Another small bouton found and annotated.
With the entire CB undergrowth proofread and checked, it is time to proofread the rest of the cell. One branch at the time.
I’m checking on every pointy edge I come across in case it leads to something missing. Can’t have a bouton not added, now, can we? Didn’t find much except for that yellow branchy above the red curved line.
Finished checking up on that branch, finding 3 more mini-branches missing (2 red lines and a…let’s call it a (red) circle)
With this branch proofread and annotated, time to move on to the next branch and the one after that.
A classic case of ‘2D spillage’, I’m annotating it only b/c it’s very pointy/ jagged and if I was the person reviewing this cell after me there’s no way I wouldn’t check this out if the person having proofread this before hadn’t added a true end annotation there.

Something which I add as a note in the annotation as well.
And with some more annotations another branch’s finished.
At this point I should mention that usually I don’t let missing stuff found go without merging them in one segment (or removing them), I do it here for the purposes of this guide and being able to share a link in the end for whoever may want to go in and look at the connections/cell in 2/3D in person.
Proofreading one of the bald spot filler branches and I came upon some of EW2 dataset’s ‘classic’ uber ultra thin (and weird because they can make you believe there’s borders where there’s not) connections.

(from yellow to cyan segments, which I’ll recolour after).
Sometimes in EW2 the connection becomes so uber thin that clicking it becomes either impossible (not segmentated) or because it’s fused with nearby stuff down to the voxel level (which we can’t split off) so -either way- it leaves gaps between the trace (much like but for different reason fused mergers leave gaps in EW).



Two more branch done, with a small boutony nub missing at the end of one of the two.
Split off another -glia- merger.

More stuff proofread and annotated.
Another branch, another gap-y ultra-thin connection.

Aaaaand -yet- another pixel-large connection.


This is something very common in EW2’s dataset. The AI has been trained not to add the mitochondria (and the Nucleus) so a lot of times it also misses part(s) of the ‘wall’ surrounding the mito’s (or membrane’s a better word for it?). Most time’s it’s small ignorable parts like this:

No reason to spend time adding those, but sometimes (a lot of times) it also misses larger things like this:

And sometimes in EW2 one must experiment with something that in EW one would be…’naaaaah this doesn’t belong…”. Sometimes you delete what you added, other times you keep it.
More of the cell proofread.

Another 2 glia mergers split.



































